Podcast bản tin tối 31-12: Bãi biển Đà Nẵng bị xâm thực nghiêm trọng; Thực nghiệm hiện trường vụ giết 4 người thân bằng Xyanua Tin nóng 31/12/2024 20:11
Bản tin tối 31-12: Bộ Công an thông tin về vụ án tại Công ty Vàng bạc đá quý Sài Gòn (SJC); Sập giàn giáo khi thi công thủy điện ở Kon Tum làm 5 người chết Tin nóng trong ngày 31/12/2024 20:00
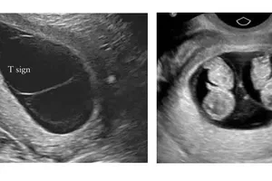
Việt Nam có ca song thai hiếm, cùng trứng nhưng khác giới tính và gene Y tế - Sức khỏe 09/11/2022 20:20
Đi đẻ bị tắc đường, sản phụ được nhân viên CDC hỗ trợ "vượt cạn" thành công Y tế - Sức khỏe 22/05/2020 18:36
BV Phụ sản Hà Nội: Hết bị “tố” nhân viên bảo vệ đánh người, giờ đến “chuyên môn kém“ Y tế - Sức khỏe 03/11/2017 17:53