Việt Nam có ca song thai hiếm, cùng trứng nhưng khác giới tính và gene

Chiều 9-11, Bệnh viện Phụ sản Hà Nội họp báo công bố ca bệnh song thai hiếm trên thế giới và lần đầu tiên gặp ở Việt Nam, đó là trường hợp thai phụ mang thai song thai cùng trứng nhưng khác nhau về kiểu hình, giới tính và gene. 
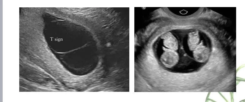
Hình ảnh trường hợp thai nhi bất thường. Ảnh: BV
Hình ảnh trường hợp thai nhi bất thường. Ảnh: BV

Theo đó, trường hợp hiếm gặp kể trên là thai phụ 23 tuổi quê ở Nam Định, mang thai tự nhiên lần đầu. Kết quả siêu âm từ tuần thai thứ 8 cho thấy hình ảnh song thai chung một bánh rau, hai buồng ối.

Sau đó, thai phụ đến Bệnh viện Phụ sản Hà Nội thăm khám ở tuần thai 16 vì có một thai phù. Sau khi hội chẩn, siêu âm và chọc ối phát hiện thai A phù thai, giới tính nữ, kiểu gene nữ Turner (45,X);  thai B bình thường về mặt hình thái và giới tính trên siêu âm là nam, kiểu gene nam (46,XY).

Trước sự khác biệt này, các xét nghiệm di truyền chuyên sâu khác cũng đã được thực hiện và chứng minh rằng hai thai này chung một trứng nhưng có kiểu gene khác nhau.

Việt Nam có ca song thai hiếm, cùng trứng nhưng khác giới tính và gene ảnh 1 Bệnh viện Phụ sản Hà Nội công bố phát hiện ca song thai cực hiếm

Tuy nhiên, sau khi sản phụ tới khám và siêu âm tuần thứ 18 cho thấy, thai nhi bệnh lý phù thai nặng, đã có dấu hiệu thai chết lưu. Sau khi nhận được tư vấn của các bác sĩ, gia đình quyết định đình chỉ thai nghén.

Theo PGS-TS Nguyễn Duy Ánh, Giám đốc Bệnh viện Phụ sản Hà Nội, mặc dù cặp song sinh không thể ra đời nhưng đây là trường hợp cực hiếm, minh chứng cho thấy vẫn có một số trẻ song thai cùng trứng nhưng không giống nhau 100% về kiểu gen và kiểu hình. Ca bệnh hy hữu này cũng cung cấp thêm góc nhìn hoàn toàn mới, sâu rộng hơn cho ngành di truyền học và sản phụ khoa. Vì vậy, việc nghiên cứu khoa học những ca bệnh hiếm như này là rất cần thiết, cùng với đó là nghiên cứu các yếu tố di truyền để giúp các cặp vợ chồng có con khỏe mạnh.

Theo bác sĩ Nguyễn Thị Sim, Phụ trách Đơn vị Can thiệp bào thai (Bệnh viện Phụ sản Hà Nội), dù đã thực hiện rất nhiều kỹ thuật chuyên sâu, phát hiện ra bố mẹ thai nhi có bộ nhiễm sắc thể bình thường nhưng các kết quả xét nghiệm, chẩn đoán chuyên sâu cho thấy sự xấu đi của thai A, thai B cũng có ảnh hưởng và đặc biệt là ảnh hưởng đến sức khỏe sinh sản, tỷ lệ thai bị lưu rất cao. Sau khi có sự tư vấn của chuyên gia can thiệp bào thai và chuyên gia di truyền, gia đình bệnh nhân xin đình chỉ thai nghén tự nguyện.

Tin cùng chuyên mục