Bóc tách thành công khối u buồng trứng nặng 30kg cho cụ bà 78 tuổi

Sáng 21-3, Bệnh viện (BV) quận Thủ Đức thông tin vừa thực hiện thành công ca phẫu thuật lấy khối u buồng trứng nặng 30kg từ cụ bà 78 tuổi.
Hình khối u sau khi được đưa ra khỏi bụng
Hình khối u sau khi được đưa ra khỏi bụng

Bệnh nhân là cụ bà T.T.T., (sinh năm 1941, quê Thanh Hóa) nhập viện trong tình trạng bụng trướng căng, khó thở.

Theo người nhà bệnh nhân, cụ bà được phát hiện bị u buồng trứng cách nay 7- 8 năm, lúc đó khối u chỉ to bằng cái nắm tay, nhưng không thể mổ vì cụ được phát hiện bị thêm bệnh xơ gan cổ chướng, nếu mổ sẽ gặp nguy hiểm đến tính mạng.

Sau nhiều năm, khối u cứ như thế lớn dần. Nhiều lần, khi sức khỏe cụ đã tốt hơn, gia đình cố gắng đưa cụ đi mổ khối u nhưng không được, do tâm lý của bệnh nhân không ổn định sau một biến cố đau lòng trước đó, cụ trở nên thờ ơ và kém hợp tác với người thân. Khoảng 4 tháng gần đây, bụng lớn nhanh, đau nhiều, không thở được khi nằm ngửa, người nhà đưa bệnh nhân đến bệnh viện khám.

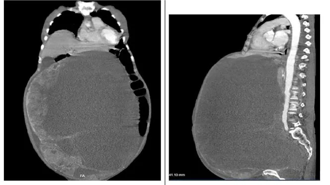
Bóc tách thành công khối u buồng trứng nặng 30kg cho cụ bà 78 tuổi ảnh 1 Hình ảnh khối u thể hiện trên CT-SCAN
Nhận thấy đây là trường hợp phức tạp, bệnh nhân có nhiều vấn đề như hô hấp (khó thở khi nằm), tim mạch (cao huyết áp khó kiểm soát), tâm thần (kém hợp tác)… nên khoa Ung bướu, BV quận Thủ Đức đã tiến hành hội chẩn với các khoa liên quan và tiến hành phẫu thuật cắt trọn khối u. 

Ca mổ khá khó khăn do u quá lớn (30x50cm, nặng 30kg) và dính nhiều vào ruột, thành bụng, tuy nhiên sau 2,5 giờ các bác sĩ cắt cắt trọn được khối u một cách an toàn.

Hiện sức khỏe cụ bà ổn định, và đang hồi phục tốt, kết quả xét nghiệm khối u sẽ có trong vài ngày tới.

Tin cùng chuyên mục