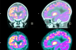
Tỷ lệ người cao tuổi bị suy giảm trí nhớ và sa sút trí tuệ ngày càng gia tăng Y tế - Sức khỏe 14/10/2018 14:23