Xét nghiệm máu để chẩn đoán suy giảm trí nhớ

Nhóm nghiên cứu thuộc Trường Đại học Quốc gia Seoul, Hàn Quốc, đã phát triển một công nghệ có thể chẩn đoán mức độ suy giảm trí nhớ chỉ bằng xét nghiệm máu. 
Xét nghiệm máu để chẩn đoán suy giảm trí nhớ

Kết quả nghiên cứu đăng trên tạp chí Brain, một tạp chí học thuật quốc tế ở lĩnh vực y học não bộ, ngày 21-1 cho biết, nhóm nghiên cứu thuộc Trường Đại học Quốc gia Seoul, Hàn Quốc, đã phát triển một công nghệ có thể chẩn đoán mức độ suy giảm trí nhớ chỉ bằng xét nghiệm máu.

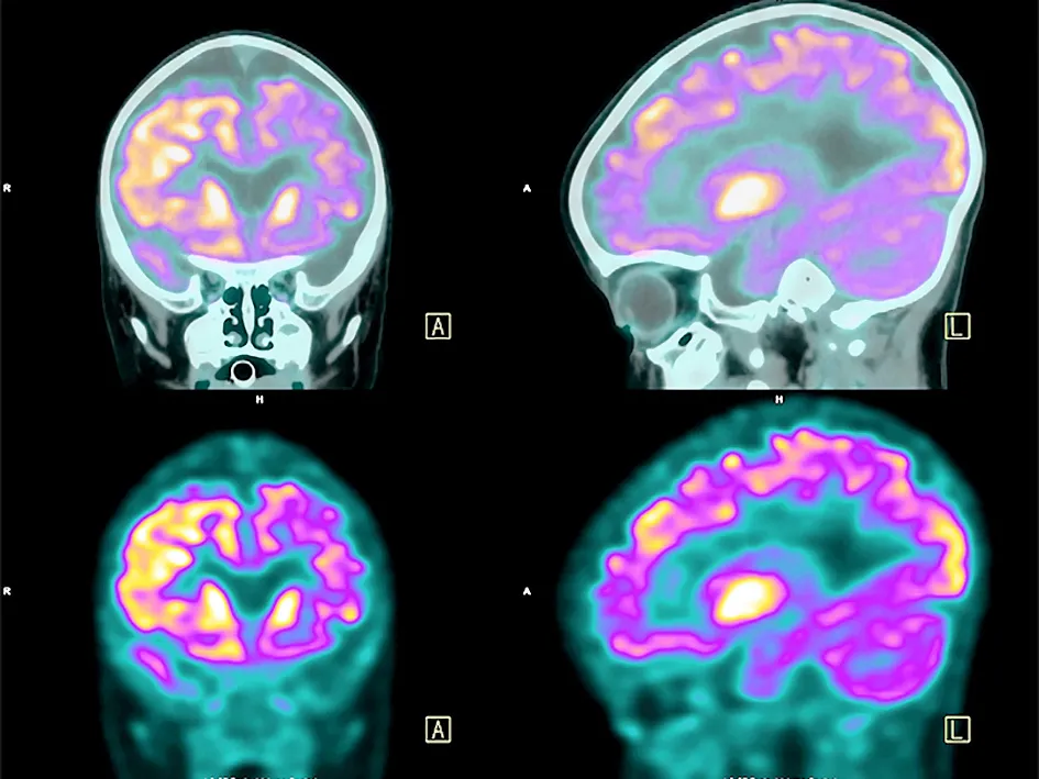
Công nghệ này đưa ra chẩn đoán về sự tích tụ trong não của protein Tau, một tác nhân chính dẫn tới bệnh Alzheimer. Khi lượng protein Tau trong máu càng cao thì protein Tau tích tụ trong não càng lớn.

Nếu công nghệ này được đưa vào áp dụng thì chỉ cần xét nghiệm máu đơn giản là có thể chẩn đoán chính xác về diễn tiến của bệnh Alzheimer, góp phần giảm mạnh chi phí chẩn đoán…

Tin cùng chuyên mục