Theo đó, bệnh nhân nam 33 tuổi, trú tại xã Điện Thọ, thị xã Điện Bàn nhập viện vào chiều mùng 1 Tết (ngày 29-1) với nhiều vết thương chảy máu khắp cơ thể. Vết thương lóc da vùng mặt phải, vùng ngực, vùng đùi trái, vùng bụng trái có vết thương dạng bỏng nhiệt, có 2 lỗ tổn thương có mảnh dị vật.
 
 
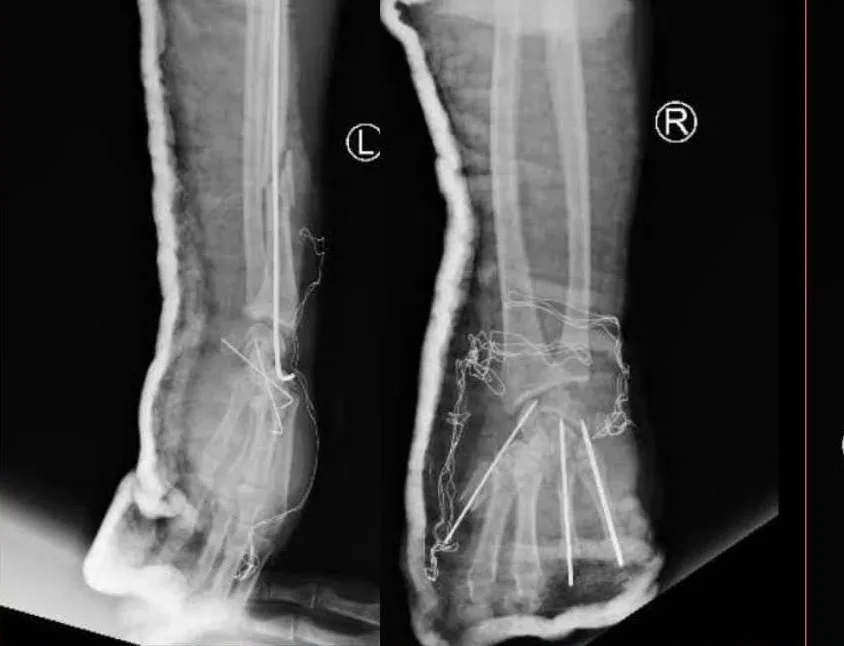
 Đặc biệt, 2 bàn tay bệnh nhân bị thương rất nặng, có thể coi như nổ bung bàn tay phải, còn tay trái toác một đường dọc giữa bàn tay, lực nổ gây ép gãy cả xương quay. Các xương bàn nằm lẫn lộn, gân, cơ, thần kinh, mạch máu gần như bung hết khỏi ống cổ tay và gan tay.
Ngay lập tức, bệnh nhân được hội chẩn viện và được chuyển mổ cấp cứu. Sau 6 tiếng phẫu thuật, truyền 2 đơn vị máu, với sự tham gia của ekip gây mê, ngoại chấn thương chỉnh hình và ngoại tổng hợp, bệnh nhân được xử trí các tổn thương trong mức ổn. Hiện tại, bệnh nhân ổn định, tiếp tục được theo dõi và điều trị tích cực tại Khoa Ngoại Chấn thương chỉnh hình.
 
 
 Theo bác sĩ Võ Thôi, Phó Giám đốc Bệnh viện Đa khoa khu vực Quảng Nam, đây là một trong những tai nạn do pháo tự chế sử dụng trong các dịp tết đến để mua vui, để lại hậu quả nghiêm trọng và có thể ảnh hưởng đến tính mạng.
 
 
 
 
 
 
 
 
 
 
 
 
 
 
 
 
 
 
 
 
 
 
 
 
 
 
 
 
 
 
 
 
 
 
 
 
 
 
 
 
 
 
 
 
 
