Điều trị động kinh kháng thuốc dễ hơn khi có Thực phẩm dinh dưỡng y học KetoVie® Sức khỏe cộng đồng 15/05/2026 21:50
Cú nhảy vọt 7 bậc: Ajinomoto xác lập vị thế mới trong Top thương hiệu Nhật Bản tốt nhất 2026 Thông tin kinh tế 11/05/2026 09:29
Chế độ ăn keto thấp: Giải pháp chọn cho bệnh nhân động kinh kháng thuốc Thông tin kinh tế 22/01/2026 08:05
Hành khách Trung Quốc bị co giật, ngừng tim được bộ đội Biên phòng Việt Nam cứu sống Y tế - Sức khỏe 09/03/2025 16:10
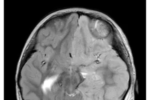
Hội chẩn từ xa với các bác sĩ Đài Loan phẫu thuật thành công cho bệnh nhi bị động kinh Y tế - Sức khỏe 13/11/2023 11:06