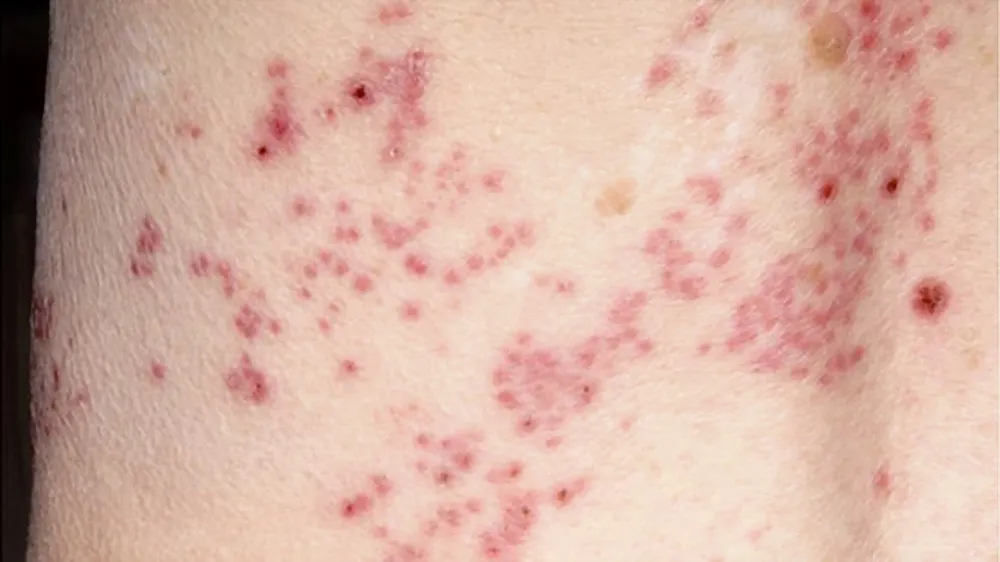
Hiệu quả của tiêm chủng zona

Theo Bộ Y tế Anh, các trường hợp mắc bệnh zona đã giảm tới 35% kể từ khi nước này chủng ngừa miễn phí cho người từ 70 tuổi trở lên. 
Hiệu quả của tiêm chủng zona

Bộ Y tế Anh thúc giục nhiều người hơn nữa ở độ tuổi này tiêm chủng. Theo nghiên cứu, ở người cao tuổi, do sức đề kháng giảm, họ có nhiều nguy cơ mắc bệnh zona và có nhiều khả năng phát triển các biến chứng, chẳng hạn như đau thần kinh nghiêm trọng.

Bệnh zona là do sự kích hoạt của virus gây bệnh thủy đậu. Chương trình tiêm chủng zona bắt đầu ở Anh vào năm 2013 và 5,5 triệu người đã đủ điều kiện tiêm chủng miễn phí trong 3 năm đầu tiên. Nhờ vậy, từ năm 2013 đến năm 2016 ước tính đã có 17.000 lượt người đã tránh được bệnh zona.

Tin cùng chuyên mục