Làm gì khi nôn ói ra máu bầm liên tục?

Anh T.V.T.C. (33 tuổi) nhập viện cấp cứu trong tình trạng nôn ói ra máu bầm liên tục. Được biết, anh C. đi cầu phân đen nhiều lần vài ngày trước, nhưng không biết đây là dấu hiệu chảy máu tiêu hóa nên không đi khám bệnh.

Khi vào bệnh viện, anh vẫn liên tục nôn ra máu bầm và đi cầu phân đen liên tục, lượng máu mất đến mức báo động và phải được truyền đến 10 đơn vị hồng cầu lắng (3,5 lít máu!) để bồi hoàn lượng máu mất.

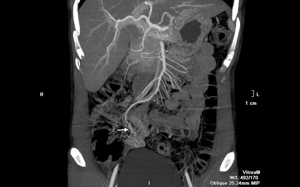
Làm gì khi nôn ói ra máu bầm liên tục? ảnh 1 Hình ảnh CT của bệnh nhân khi vào viện cho thấy mạch máu dị dạng gây chảy máu

Sau hồi sức tích cực, anh C. được tiến hành chụp cắt lớp vi tính (chụp CT) thì phát hiện búi dị dạng mạch máu từ một nhánh của động mạch mạc treo tràng trên, nằm ngay trên thành ruột non, đang có dấu hiệu chảy máu.

Đây là thủ phạm gây chảy máu kéo dài. Bệnh nhân được hội chẩn, điều trị khẩn cấp bằng phương pháp can thiệp mạch để nút búi dị dạng. Trong quá trình thủ thuật, bác sĩ can thiệp luồn một ống thông nhỏ đường kính chỉ khoảng 1mm từ động mạch đùi tại vùng bẹn, qua động mạch chủ bụng vào động mạch mạc treo tràng trên, dưới hướng dẫn của máy X quang số xóa nền.

Bác sĩ can thiệp bơm thuốc cản quang để chụp toàn bộ động mạch mạc treo tràng trên để tìm nhánh động mạch dị dạng. Tiếp theo bác sĩ can thiệp luồng một ống thông nhỏ hơn (còn được gọi là vi ống thông), vào lòng ống thông đầu tiên và đưa đầu vi ống thông đến tận mạch máu dị dạng.

Sau bơm thuốc cản quang xác định chính xác đầu vi ống thông đến ổ dị dạng, bác sĩ can thiệp bơm các hạt nút mạch để nút toàn bộ các mạch máu dị dạng. Sau thủ thuật 24 giờ, bệnh nhân không còn triệu chứng chảy máu, sức khỏe người bệnh dần phục hồi. Anh C. xuất viện ngày 29-9.

Theo bác sĩ chuyên khoa 2 Nguyễn Phước Thuyết, Trưởng khoa Chẩn đoán hình ảnh, Bệnh viện Hoàn Mỹ Sài Gòn, điều trị can thiệp mạch cầm máu trong xuất huyết tiêu hóa là một kỹ thuật điều trị xâm lấn tối thiểu. Theo kinh điển, người bệnh chảy máu ruột non ào ạt như thế này cần được mổ cắt đoạn ruột đang chảy máu. Tuy nhiên, cuộc mổ thường khó khăn, do không dễ tìm thấy vị trí chảy máu trong lòng ruột. Với kỹ thuật can thiệp mạch, người bệnh tránh được cuộc mổ lớn, không cần phải cắt bỏ đoạn ruột, thời gian phục hồi nhanh, thời gian cần nằm viện ngắn. Người dân cần lưu ý đi cầu phân đen là biểu hiện của chảy máu từ đường tiêu hóa, không nên chủ quan với dấu hiệu này, cần đi khám sớm để tìm nguyên nhân, việc vào viện trễ có thể đe dọa đến tính mạng.

Tin cùng chuyên mục