Thoát khỏi bệnh suy tĩnh mạch mạn nhờ can thiệp nội mạch

Bệnh viện Đại học Y Dược TPHCM vừa thông tin, tính đến nay đã có 20 bệnh nhân thực hiện kỹ thuật điều trị suy tĩnh mạch do tắc nghẽn bằng can thiệp nội mạch mang lại hiệu quả rõ rệt, chất lượng cuộc sống của người bệnh cải thiện đáng kể và ổn định. 
Đây là kỹ thuật lần đầu tiên được thực hiện tại Việt Nam và đã được đăng ký với Bộ Y tế từ năm 2015.
Theo bác sĩ Lê Thanh Phong, Khoa Lồng ngực mạch máu, Bệnh viện Đại học Y Dược TPHCM, bệnh suy tĩnh mạch chi dưới thường gặp là do các van tĩnh mạch bị hư hỏng. Ngoài ra, suy tĩnh mạch còn do bị chèn ép từ bên ngoài bởi một khiếm khuyết tự nhiên của cơ thể.
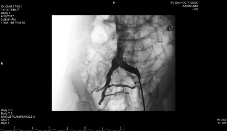
Thoát khỏi bệnh suy tĩnh mạch mạn  nhờ can thiệp nội mạch ảnh 1 Hình ảnh stent đặt trong lòng tĩnh mạch
Hội chứng chèn ép tĩnh mạch chậu có thể gây nên tình trạng suy tĩnh mạch chi dưới mức độ nặng, đôi khi gây nguy hiểm tính mạng, nhưng không thể chữa khỏi bằng những cách điều trị suy tĩnh mạch thông thường. Bệnh hay gặp ở nữ giới (chiếm 80%) với các triệu chứng giống như suy tĩnh mạch mạn tính chi dưới, hay hội chứng giãn tĩnh mạch vùng chậu, hoặc nặng hơn là huyết khối tĩnh mạch sâu chi dưới cấp tính. Bệnh thường khởi phát vào độ tuổi từ 20 tuổi đến 50 tuổi.
Trước đây, hội chứng chèn ép tĩnh mạch chậu được điều trị bằng phẫu thuật. Đây là một phẫu thuật lớn, phức tạp, mất nhiều máu và gây đau đớn. Ngày nay, với sự phát triển của can thiệp nội mạch, hội chứng này có thể điều trị khỏi bằng cách nong bóng và đặt giá đỡ tĩnh mạch (stent). Chỉ qua một vết đâm kim ở vùng bẹn đùi, phần tĩnh mạch bị chèn ép sẽ được nong ra và sau đó được đặt stent vào lòng mạch. Khi dòng máu về tim không còn bị cản trở, các hậu quả do sự chèn ép gây ra sẽ không xuất hiện hoặc được cải thiện đáng kể khi đã xảy ra.
Sau mổ vài giờ người bệnh có thể đi lại và có thể xuất viện cùng ngày.

Tin cùng chuyên mục