Cứu sống bệnh nhân tràn mủ màng ngoài tim hiếm gặp

Ngày 5-6, Bệnh viện Nhân dân 115 cho biết, vừa cứu sống bệnh nhân tràn mủ màng ngoài tim lượng lớn. Đây là một bệnh lý hiếm gặp, quá trình chẩn đoán và điều trị gặp nhiều khó khăn, có thể nguy hiểm đến tính mạng nếu không được phát hiện và xử trí kịp thời.

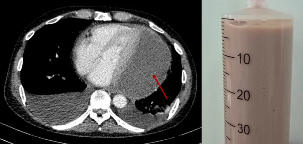
Hình chụp CT lồng ngực xác chẩn với mũi tên đỏ thể hiện lớp dịch mủ chèn ép tim và dịch mủ đặc rút ra được qua chọc dịch màng ngoài tim
Hình chụp CT lồng ngực xác chẩn với mũi tên đỏ thể hiện lớp dịch mủ chèn ép tim và dịch mủ đặc rút ra được qua chọc dịch màng ngoài tim

Trước đó, người bệnh đau ngực, mệt mỏi và khó thở tăng dần trong suốt 2 tháng trước khi nhập viện, từng đi khám nhiều nơi nhưng không phát hiện ra bệnh chính xác và điều trị không cải thiện. Với tiền sử nghiện rượu lâu năm, xơ gan và đái tháo đường mới được phát hiện, sức khỏe của người bệnh ngày càng sa sút nghiêm trọng.

Theo BS-CK2 Dương Văn Mười Một, Trưởng khoa Phẫu thuật tim - Lồng ngực mạch máu, Bệnh viện Nhân dân 115, người bệnh nhập viện trong tình trạng suy kiệt toàn thân, phải thở oxy liều cao, huyết áp tụt và mạch rất nhanh, phù toàn thân. Qua siêu âm, các bác sĩ phát hiện một khối dịch lớn gần 11cm bao quanh tim – nguyên nhân khiến tim bị ép chặt, co bóp khó khăn và đe dọa tính mạng người bệnh.

Trước tình hình nguy cấp, chuyên gia từ các chuyên khoa nội tim mạch, phẫu thuật tim, chẩn đoán hình ảnh, hô hấp, nội tiêu hóa thảo luận và quyết định can thiệp chọc hút dịch mủ ra khỏi màng ngoài tim khẩn cấp. “Đây là một ca chọc hút không đơn giản và tiềm ẩn nhiều nguy cơ do khối mủ nằm ở vị trí khó tiếp cận, dịch đặc quánh. Tuy nhiên, nhờ kinh nghiệm chuyên môn và sự hỗ trợ của thiết bị siêu âm hiện đại tại giường bệnh, các bác sĩ đã hút thành công 500ml mủ đặc, giảm nhanh áp lực lên tim”, BS-CK2 Dương Văn Mười Một thông tin.

Theo BS-CK2 Dương Văn Mười Một, kết quả xét nghiệm cho thấy đây là một ca viêm mủ màng ngoài tim nặng, không do vi khuẩn lao hay ký sinh trùng. Bệnh nhân được phẫu thuật mở cửa sổ màng tim để tiếp tục dẫn lưu toàn bộ dịch mủ còn lại. Đồng thời điều trị tích cực bằng kháng sinh mạnh, điều trị bệnh nền chặt chẽ, nâng đỡ thể trạng…

Sau 2 tuần điều trị người bệnh hồi phục ngoạn mục: không còn đau ngực hay khó thở, ăn uống tốt, vận động bình thường. Siêu âm tim cho thấy dịch quanh tim đã biến mất. Các bệnh nền như xơ gan và đái tháo đường cũng được kiểm soát ổn định.

Tràn mủ màng ngoài tim là một tình trạng nhiễm trùng nghiêm trọng nhưng khá hiếm gặp do việc sử dụng kháng sinh phổ biến trên toàn cầu (tỷ lệ theo báo cáo trên thế giới là 1 trên 18.000 người). Bệnh đặc trưng bởi sự tích tụ mủ trong khoang màng ngoài tim (lớp màng bao quanh tim). Nếu không được chẩn đoán và điều trị kịp thời, tình trạng này có thể đe dọa tính mạng.

Mủ tích tụ có thể lan vào máu gây nhiễm trùng nặng toàn thân, chèn ép tim làm cản trở máu lưu thông, dẫn đến tụt huyết áp, sốc và thậm chí đột ngột ngưng tim gây tử vong. Những người có hệ miễn dịch yếu, mắc bệnh mạn tính (như xơ gan, đái tháo đường, ung thư…) hoặc nghiện rượu sẽ có nguy cơ cao hơn. Triệu chứng thường không rõ ràng: đau ngực, mệt mỏi, khó thở nhẹ nên dễ bị bỏ qua. Điều trị đòi hỏi sự phối hợp chặt chẽ giữa các chuyên khoa và sự can thiệp khẩn cấp để hút dịch mủ, dùng kháng sinh mạnh và phẫu thuật nếu cần thiết.

Tại Việt Nam, các trường hợp tràn mủ màng ngoài tim ở người lớn rất hiếm gặp và chưa có nhiều báo cáo về các trường hợp tương tự.

Tin cùng chuyên mục