 
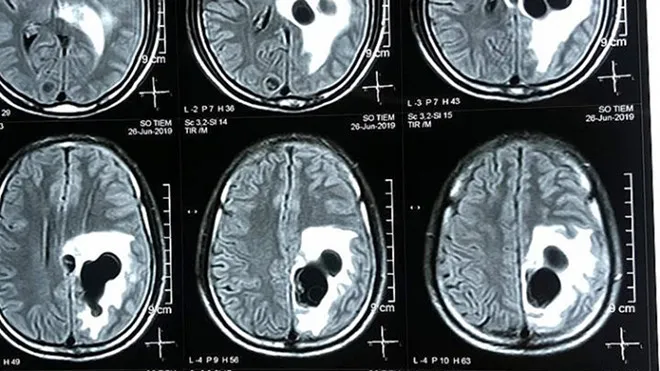
Tại bệnh viện, qua thăm khám và chụp CT não, các bác sĩ phát hiện có 5 ổ sán nằm rải rác trong não anh S., trong đó có một ổ sán lớn trên đỉnh não, gây phù não. Ngay lập tức, bệnh nhân được các bác sĩ chỉ định can thiệp ngoại khoa, phẫu thuật và lấy các ổ nang sán khỏi não. Sau ca mổ, hiện bệnh nhân S. đã hồi phục, tỉnh táo, hết triệu chứng bị liệt và bắt đầu đi lại được.
 
Các bác sĩ khuyến cáo, kén sán não là bệnh nhiễm trùng hệ thần kinh do ấu trùng sán sống ký sinh ở người gây ra. Để phòng bệnh, người dân nên ăn chín, uống sôi, tuyệt đối không ăn tiết canh, gỏi sống... Khi xuất hiện các cơn đau đầu, co giật, cần đến bệnh viện kiểm tra, xét nghiệm tầm soát bệnh liên quan đến ký sinh trùng.
 
 
 
 
 
 
 
 
 
 
 
 
 
 
 
 
 
 
 
 
 
 
 
 
 
 
 
 
 
 
 
 
 
 
 
 
 
 
 
 
 
 
 
 
 
