Cứu sống bệnh nhân bị dị vật dài gần 20cm đâm xuyên ngực trái

Sau một thời gian phẫu thuật, điều trị, tình trạng sức khỏe của bệnh nhân N.V.N. (31 tuổi, trú tại xã Kỳ Tây, huyện Kỳ Anh, tỉnh Hà Tĩnh) đã ổn định trở lại và chuẩn bị xuất viện.
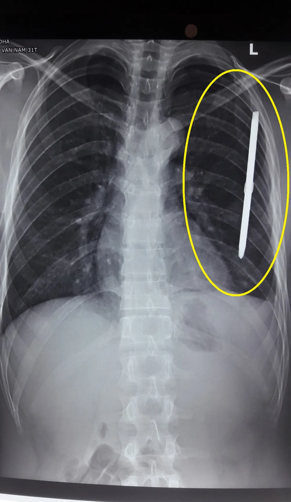
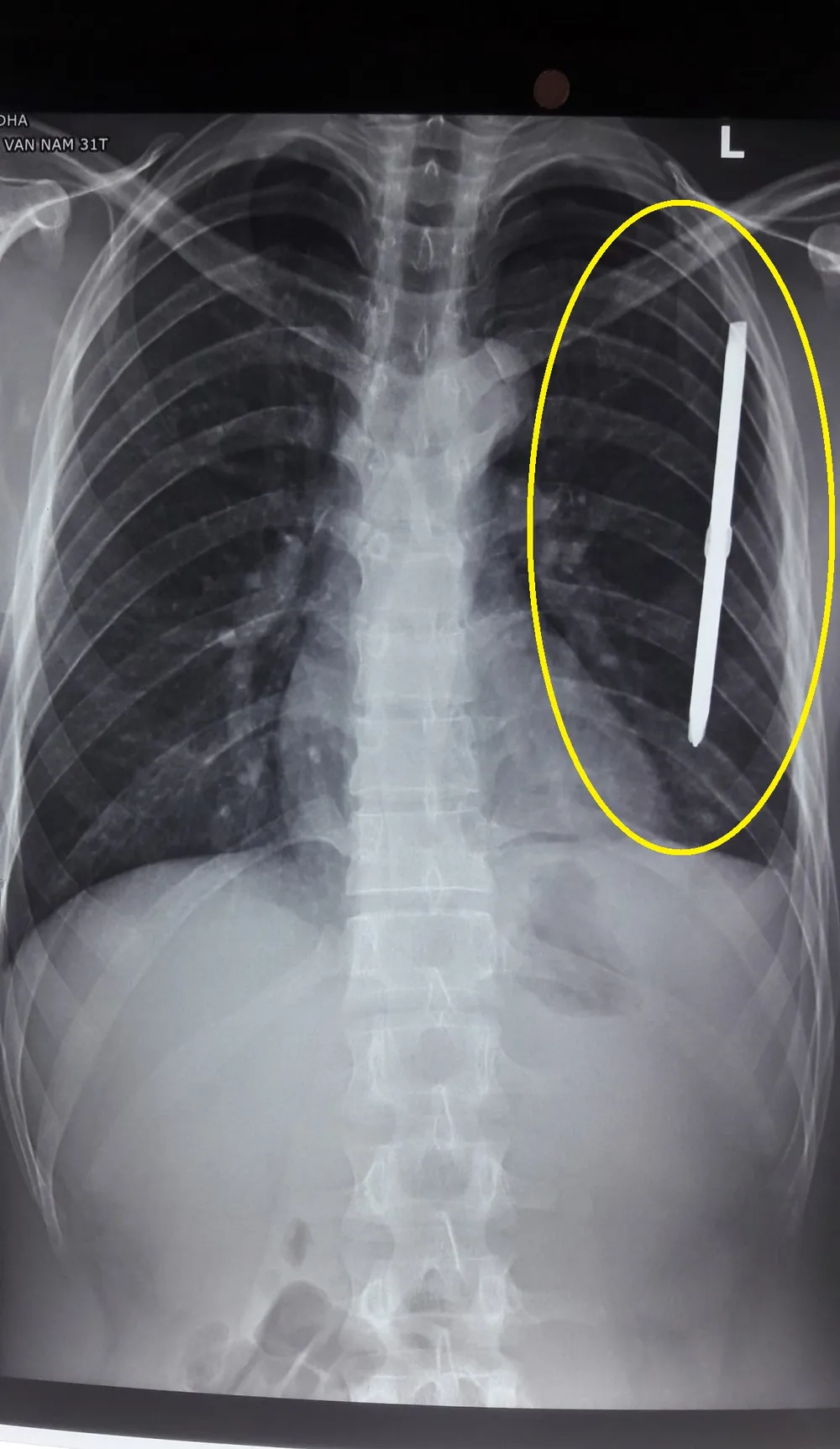
Hình ảnh dị vật qua phim chụp X.Quang
Ngày 7-6, thông tin từ Bệnh viện Đa khoa tỉnh Hà Tĩnh cho biết, các bác sĩ Khoa Ngoại tổng hợp vừa tiến hành phẫu thuật cứu sống thành công cho trường hợp bệnh nhân N.V.N. (31 tuổi, trú tại xã Kỳ Tây, huyện Kỳ Anh, tỉnh Hà Tĩnh) bị dị vật dài gần 20cm đâm xuyên vào thành ngực trái.

 Trước đó, trong lúc anh N.V.N. đang cắt cỏ trong vườn bằng máy cắt cầm tay thì bất ngờ có một vật văng trúng thẳng vào ngực, nhưng không thấy đầu dị vật, chỉ thấy một lỗ nhỏ cạnh núm vú trái khoảng 2cm. Sau đó, anh N.V.N. thấy đau ngực khó thở, được người nhà chuyển vào Bệnh viện Đa khoa thị xã Kỳ Anh, tỉnh Hà Tĩnh cấp cứu.

Tại đây, qua tiến hành chỉ định chụp X Quang, các bác sĩ phát hiện có một dị vật dài gần 20cm đâm xuyên vào thành ngực trái bệnh nhân N.V.N.

Cứu sống bệnh nhân bị dị vật dài gần 20cm đâm xuyên ngực trái ảnh 2 Các bác sĩ tiến hành phẫu thuật lấy dị vật cho bệnh nhân N.V.N.
Bệnh nhân N.V.N. sau đó được chuyển tiếp lên Khoa Ngoại tổng hợp Bệnh viện Đa khoa tỉnh Hà Tĩnh, trong tình trạng đau tức ngực nhiều, khó thở, suy hô hấp...
Tại đây, sau khi làm các xét nghiệm cần thiết, chụp X Quang và chuyển bệnh nhân để phẫu thuật cấp cứu, các bác sĩ đã tiến hành lấy ra ngoài dị vật là 1 chiếc tuốc nơ vít dài gần 20cm, rất gần tim.
Cứu sống bệnh nhân bị dị vật dài gần 20cm đâm xuyên ngực trái ảnh 3 Dị vật là chiếc tuốc nơ vít dài gần 20cm đã được lấy ra ngoài

 Sau một thời gian phẫu thuật, điều trị, sức khỏe của bệnh nhân N.V.N. đã ổn định trở lại và chuẩn bị cho xuất viện.

Cứu sống bệnh nhân bị dị vật dài gần 20cm đâm xuyên ngực trái ảnh 4 Bác sĩ tiến hành kiểm tra vết thương cho bệnh nhân

Tin cùng chuyên mục