Ho kéo dài do dị vật đường thở

Bệnh nhân nam (49 tuổi), làm bảo vệ, ho kéo dài gần 2 năm, uống thuốc nhưng không khỏi. Bệnh nhân đi khám, chụp X-quang ngực, CT ngực và điều trị nhiều lần với các chẩn đoán: Viêm họng cấp, viêm phế quản... Điều trị có giảm ho, giảm khò khè nhưng ngừng thuốc cơn ho lại tiếp tục...

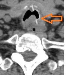
Ngày 4-4, bệnh nhân đến Trung tâm Y khoa Thiện Nhân Đà Nẵng để khám. Qua khám lâm sàng, bệnh nhân không có tiền sử hen phế quản, không hút thuốc và chưa từng điều trị bệnh phổi trước đây. Khai thác bệnh lý phát hiện ho kéo dài xuất hiện sau một lần uống thuốc quên bóc vỏ, lúc đầu ho ra đàm lẫn bột trắng, nghĩ đã khạc vỏ thuốc ra ngoài. Ho kéo dài, thở có lúc khò khè, lúc khạc đàm có ít máu... Nghi dị vật đường thở, bệnh nhân được chỉ định chụp CT ngực, kết quả phát hiện dị vật nằm ở khí quản gây hẹp không hoàn toàn đường thở. Bệnh nhân đã được nội soi phế quản, gắp dị vật ra khỏi khí quản.

Hình ảnh dị vật ở khí quản (mũi tên vàng) trên CT ngực và gây phù nề và hẹp khí quản không hoàn toàn (mũi tên hồng)
Ho kéo dài do dị vật đường thở ảnh 3 Dị vật nằm dọc khí quản gây biến dạng, phù nề
Ho kéo dài do dị vật đường thở ảnh 4 Hình ảnh dị vật sau khi lấy ra khỏi đường thở qua nội soi

Dị vật đường thở thường hay gặp ở trẻ nhỏ nhưng cũng có thể gặp ở người lớn. Đây là tình trạng cấp cứu khẩn cấp, nếu không xử lý kịp thời có thể dẫn đến các hậu quả nặng nề như tổn thương não không hồi phục, thậm chí gây tử vong. Nhiều trường hợp ho dai dẳng, điều trị hen suyễn, các bệnh về phổi ở nhiều nơi vẫn không thuyên giảm, sau đó mới nội soi phát hiện dị vật trong phổi. Có những trường hợp đến lúc bác sĩ phát hiện, dị vật đã nằm trong phổi vài năm, gây biến chứng nặng nề như viêm phổi tái phát nhiều lần, ho kéo dài, giãn phế quản gây ho ra máu, áp xe phổi, xẹp phổi, gây hẹp khí phế quản...

Bác sĩ khuyến cáo cần cảnh giác với dị vật đường thở, khi đang ăn uống, nhất là cười đùa khi đang ăn uống, đột ngột ho sặc, khó thở (biểu hiện của hội chứng xâm nhập) cần nghĩ ngay đến khả năng dị vật lọt vào đường thở và đến bệnh viện để kiểm tra, xử trí kịp thời.

Nếu không phát hiện và xử trí kịp thời, có thể tử vong do đường thở bị tắc. Việc dùng thuốc không đúng có thể gây ra những tác hại không mong muốn hoặc để lại di chứng hẹp đường thở.

Tin cùng chuyên mục