Ứng dụng kỹ thuật công nghệ cao định vị 3 chiều Navigation trong phẫu thuật xuất huyết trong não

Bệnh nhân L.T.D (66 tuổi) được người nhà đưa cấp cứu đến Bệnh viện Đa khoa Quốc tế Nam Sài Gòn, nhập viện trong tình trạng tri giác lơ mơ, liệt nửa mặt, liệt và mất cảm giác hoàn toàn nửa người bên trái, huyết áp cao.

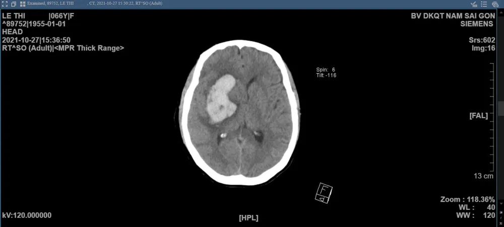
Nhanh chóng đánh giá tình trạng, tranh thủ tận dụng “thời điểm vàng” trong điều trị xuất huyết não đột quỵ, ThS.BS.CKII Đỗ Anh Vũ, Trưởng khoa Ngoại Thần kinh Bệnh viện ĐKQT Nam Sài Gòn nhanh chóng xử lý bước đầu, chỉ định chụp CT sọ não và phẫu thuật cấp cứu dẫn lưu máu tụ với hỗ trợ định vị 3 chiều Navigation. Kết quả CT ghi nhận có khối máu tụ trong não bên phải, phù não quanh tổn thương, chèn ép các cấu trúc lân cận, thoát vị não dưới liềm từ phải sang trái.

Hình ảnh CT não trước phẫu thuật
Bác sĩ đã lựa chọn phương pháp phẫu thuật xâm lấn tối thiểu là đặt catheter vào khối máu tụ kết hợp tiêu sợi huyết qua catheter. Vết mổ rất nhỏ chỉ khoảng 3cm cùng khoan 1 lỗ sọ, mở màng cứng, đặt catheter vào theo hướng dẫn của hệ thống định vị 3 chiều Navigation vào trong khối máu tụ, đồng thời tiêm thuốc tiêu sợi huyết vào khối máu tụ để dẫn lưu máu tụ ra ngoài. 
Ứng dụng kỹ thuật công nghệ cao định vị 3 chiều Navigation trong phẫu thuật xuất huyết trong não ảnh 2
Ứng dụng kỹ thuật công nghệ cao định vị 3 chiều Navigation trong phẫu thuật xuất huyết trong não ảnh 3 Hình trong mổ dẫn lưu khối máu tụ trong não với ứng dụng định vị 3 chiều 
Đây là một  trong những phương pháp hiện đại nhất hiện nay trên thế giới về phẫu thuật xuất huyết não, rất ít cơ sở y tế Việt Nam hiện nay có thể áp dụng. Khác với phương pháp mổ hở truyền thống cần mổ hở lớn hộp sọ, đường mổ rất lớn, tỷ lệ thành công thấp, có thể gây nhiều biến chứng và thời gian hồi phục chậm. 

Sau khi được phẫu thuật bằng phương pháp định vị 3 chiều Navigation trong phẫu thuật xâm lấn tối thiểu, bệnh nhân hồi phục cực kỳ nhanh chóng. Sau 3 ngày dẫn lưu và chụp lại CT sọ não, máu tụ trong não chỉ còn lại rất ít, người bệnh đã hoàn toàn tỉnh táo và nói chuyện bình thường, không còn dấu hiệu liệt mặt và chân tay đã cử động gần như bình thường. Sau 7 ngày bệnh nhân đã xuất viện và tiếp tục tập vật lý trị liệu tại nhà.

Hình ảnh CT sọ não sau phẫu thuật
Chia sẻ của chồng bệnh nhân: “Cám ơn các bác sĩ khoa ngoại thần kinh, đội ngũ bác sĩ Gây mê hồi sức và Bệnh viện ĐKQT Nam Sài Gòn đã cho vợ tôi cuộc sống mới. Tôi không thể tin được phẫu thuật xuất huyết não đột quỵ lại có thể được điều trị và hồi phục nhanh chóng như vậy cho tới khi trải qua. Thời gian nằm viện, vợ tôi được các y bác sĩ chăm sóc chu đáo, cơ sở vật chất rất tốt và đặc biệt chất lượng chuyên môn tuyệt vời của bệnh viện.” 

 “Xuất huyết não đột quỵ là căn bệnh phổ biến, đặt biệt ở người cao tuổi. Số liệu năm 2020, ở Việt nam, ước tính mỗi năm có đến 200.000 ca đột quỵ và 20% ca mắc tử vong. Có nhiều nguyên nhân gây ra đột quỵ như thay đổi thời tiết, người có bệnh lý nền như cao huyết áp, rối loạn mỡ máu, bệnh lý mạch vành… đặc biệt là người có tiền sử đột quỵ có nguy cơ tái phát rất cao.” ThS.BS.CKII. Đỗ Anh Vũ cho biết.

Tin cùng chuyên mục