VinBrain cùng bệnh viện ĐH Y Dược TPHCM phát triển ứng dụng phát hiện và chẩn đoán ung thư gan bằng AI

Ứng dụng công nghệ AI trong hỗ trợ chẩn đoán bệnh và xây dựng nền tảng y tế thông minh đã trở thành một bước không thể thiếu trong lộ trình phát triển y tế của mọi quốc gia. Điều này càng còn ý nghĩa hơn trong việc phát hiện sớm đối với các bệnh nhân ung thư.
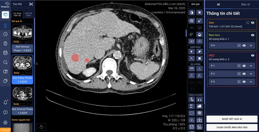
DrAid™ hỗ trợ tính năng tự động khoanh vùng và phân loại tổn thương gan ứng dụng trí tuệ nhân tạo, kết nối trực tiếp với phần mềm quản lý hình ảnh của bệnh viện (PACS)
DrAid™ hỗ trợ tính năng tự động khoanh vùng và phân loại tổn thương gan ứng dụng trí tuệ nhân tạo, kết nối trực tiếp với phần mềm quản lý hình ảnh của bệnh viện (PACS)

Tin cùng chuyên mục