Cấp cứu thành công bệnh nhân bị vỡ khối u gan trái

Chiều 7-4, Bệnh viện Đa khoa Hoàn Mỹ Cửu Long (Cần Thơ) cho biết, vừa cấp cứu thành công trường hợp bệnh nhân bị vỡ u gan trái khá nghiêm trọng.

Theo đó, Bệnh viện Đa khoa Hoàn Mỹ Cửu Long tiếp nhận bệnh nhân L.V.L. (SN 1944, ở TP Vị Thanh, tỉnh Hậu Giang) nhập viện trong tình trạng đau bụng dữ dội (vùng thượng vị), dù được tiêm thuốc nhưng cơn đau không giảm.

Ngay lập tức các bác sĩ tiến hành xét nghiệm và kiểm tra các khâu cần thiết, các kết quả cận lâm sàng xác định nguyên nhân gây ra đau bụng cho bệnh nhân là do khối u gan trái bị vỡ, gây chảy máu trong bụng.

Ê kíp bác sĩ tiến hành hội chẩn, chỉ định làm thủ thuật TACE cấp cứu, nhằm mục đích cầm máu tức thì và điều trị bệnh lý ung thư gan.

Sau 36 giờ nhập viện điều trị, bệnh nhận L. đã khỏe lại và sức khỏe dần bình phục.

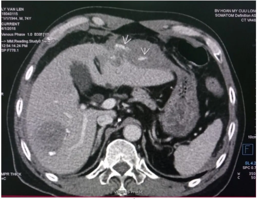
Cấp cứu thành công bệnh nhân bị vỡ khối u gan trái ảnh 1 Hình chụp cho thấy máu trong bụng bệnh nhân L. 

Theo Th.S - BS Nguyễn Hữu Kỳ Phương, Trưởng Khoa Tiêu hóa, Bệnh viện Đa khoa Hoàn Mỹ Cửu Long: TACE là phương pháp điều trị ung thư bằng cách đưa các chất diệt ung thư vào các tế bào gan bị ung thư và gây tắc nghẽn các mạch máu cung cấp chất dinh dưỡng cho tế bào bị bệnh; từ đó làm hoại tử và tiêu diệt toàn bộ tế bào ác tính gây ung thư.

Ngoài hiệu quả điều trị, TACE còn được xem là phương pháp có nhiều ưu điểm như ít tai biến, có thể thực hiện nhiều lần (so với phẫu thuật chỉ thực hiện được 1 lần), tỷ lệ thành công cao và đặc biệt là ngay cả trong tình trạng biến chứng vỡ nhân ung thư, vỡ u, chấn thương gan vẫn có thể thực hiện để cấp cứu nhằm cứu sống bệnh nhân.

Cấp cứu thành công bệnh nhân bị vỡ khối u gan trái ảnh 2 Bác sĩ Nguyễn Hữu Kỳ Phương xem hình chụp và trao đổi phương pháp điều trị cho bệnh nhân L

Tin cùng chuyên mục