
Ngày 24-6, Bệnh viện Trung ương Huế thực hiện thành công ca phẫu thuật thay khớp háng và xương đùi bằng Megaprosthesis.
Bệnh nhân là bà P.T.X., trú tại phường An Cựu, TP Huế, có tiền sử thay khớp háng nhân tạo cách đây 17 năm và từng phẫu thuật lại do lỏng khớp một năm trước.
Hơn 4 tháng gần đây, bệnh nhân xuất hiện đau tăng khi đi lại, phải sử dụng gậy hỗ trợ, vận động khó khăn và suy giảm chất lượng sống.
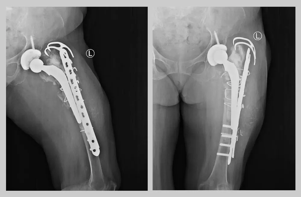
Qua thăm khám và chẩn đoán hình ảnh, các bác sĩ ghi nhận tình trạng tiêu xương lan rộng, gãy quanh khớp háng nhân tạo, gãy phương tiện kết hợp xương, lệch trục và rút ngắn chi trên 7cm – một tổn thương nặng nề và phức tạp, có nguy cơ mất chức năng chi thể nếu không can thiệp kịp thời.

Theo GS-TS Phạm Như Hiệp, Giám đốc Bệnh viện Trung ương Huế, Megaprosthesis là một kỹ thuật phức tạp, đòi hỏi trình độ chuyên môn cao và sự phối hợp tối đa giữa các chuyên khoa.
Kỹ thuật Megaprosthesis được xem là giải pháp tối ưu cho những trường hợp tổn thương nặng mà trước đây có nguy cơ cao phải cắt cụt chi.
Sau gần 4 giờ đồng hồ với sự hỗ trợ tối đa về nhân lực và trang thiết bị hiện đại, ca mổ thành công, khôi phục cấu trúc và chức năng chi thể, đồng thời phục hồi chiều dài hai chân bằng nhau.
Sau phẫu thuật, bệnh nhân phục hồi tốt, có thể tự đứng và bắt đầu quá trình tập phục hồi chức năng.
Hiện tại ở Việt Nam đã có một vài bệnh viện lớn ở Hà Nội, TPHCM triển khai kỹ thuật này. Bệnh viện Trung ương Huế là bệnh viện đầu tiên ở khu vực Miền Trung - Tây Nguyên triển khai hiệu quả kỹ thuật Megaprosthesis.

Việc ứng dụng kỹ thuật này không chỉ là giải pháp điều trị hiệu quả cho các trường hợp như gãy xương diện rộng, tiêu xương, biến chứng sau thay khớp, mà còn mở ra cánh cửa hy vọng mới cho bệnh nhân ung thư xương, tổn thương xương phức tạp mà trước đây có nguy cơ cắt cụt chi thể, giúp cải thiện khả năng vận động và góp phần nâng cao chất lượng cuộc sống cho người bệnh.