Ngã cầu thang, vỏ chai nước khoáng chui lọt vào lồng ngực

Sau khi ngã cầu thang, nạn nhân bị một vỏ chai nước khoáng chui lọt vào lồng ngực. Nạn nhân được các bác sĩ Bệnh viện Đà Nẵng mổ cấp cứu thành công.
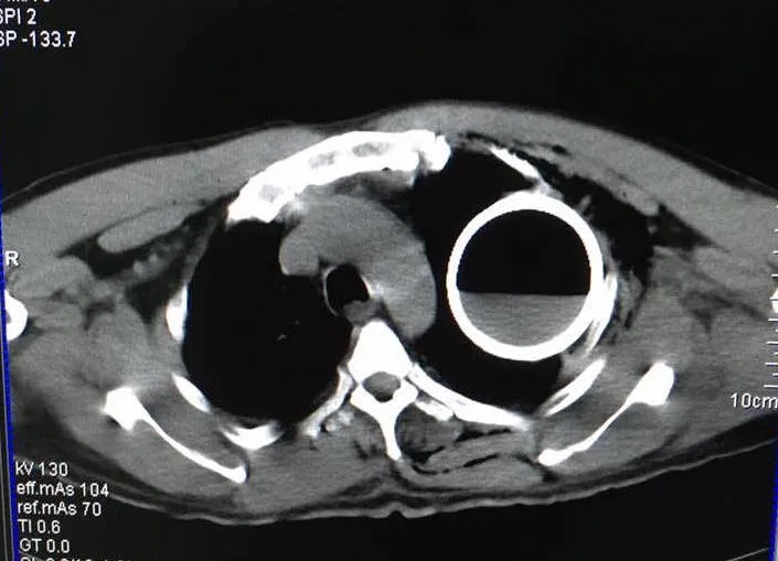
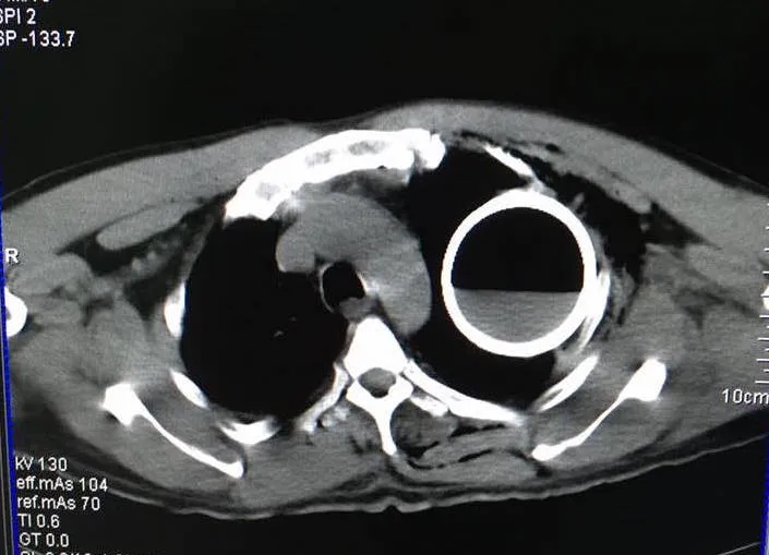
Chụp CT scaner, các bác sĩ phát hiện vỏ chai nước khoáng trong lồng ngực bệnh nhân
Chụp CT scaner, các bác sĩ phát hiện vỏ chai nước khoáng trong lồng ngực bệnh nhân

Chiều 28-5, Bệnh viện Đà Nẵng tiếp nhận một ca cấp cứu hi hữu: Nạn nhân ngã cầu thang và bị vỏ chai thủy tinh xuyên thẳng qua vùng lõm xương đòn, nằm gọn trong lồng ngực.

Chụp XQ, các bác sĩ phát hiện chai nước khoáng nằm gọn trong lồng ngực 
Nạn nhân là ông Nguyễn Hữu B. (53 tuổi, trú Quảng Nam), được đưa vào cấp cứu tại Bệnh viện Đà Nẵng trong trạng thái hoảng loạn, khó thở, đau tức ở vùng ngực. 

Bệnh nhân và người nhà cho biết, trong lúc đi xuống cầu thang, ông B. bị ngã chúi người xuống nền nhà và bị một vật gì không rõ xuyên qua vùng lõm xương đòn và tụt vào trong ngực.

Vỏ chai nước khoáng nằm trong lồng ngực của bệnh nhân
Các bác sĩ chỉ định chụp X Quang cho ông B. và phát hiện trong vùng ngực có một vỏ chai. Sau đó, các bác sĩ cho CT scaner để đánh giá cụ thể tổn thương thì xác định vỏ chai nước khoáng Thạch Bích nằm trong lồng ngực. Ông B. còn bị gãy 2 xương sườn nhưng không có tổn thương nghiêm trọng khác. 
Ngay trong chiều 28-5, các bác sĩ Bệnh viện Đà Nẵng mổ cấp cứu và lấy vỏ chai nước khoáng bằng thủy tinh ra khỏi lồng ngực ông B.

Tin cùng chuyên mục