Chị P.H. (30 tuổi, trú quận Cẩm Lệ, TP Đà Nẵng) đến thăm khám tại đơn vị Cơ Xương Khớp, khoa Ngoại - Bệnh viện Gia Đình Đà Nẵng trong tình trạng đau khớp gối trái, đi lại khó khăn.
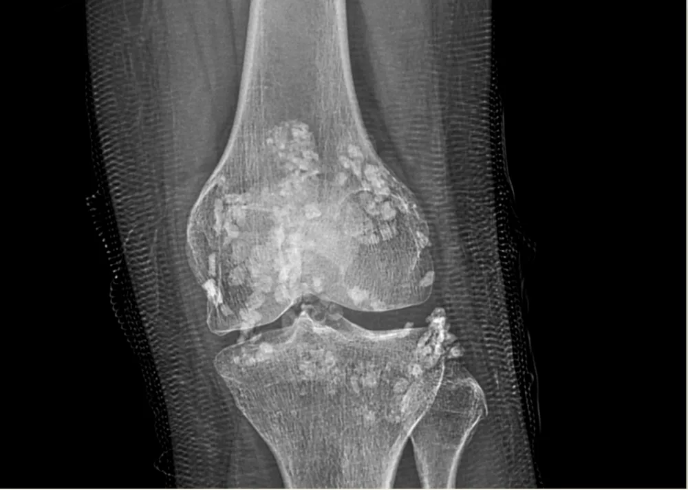
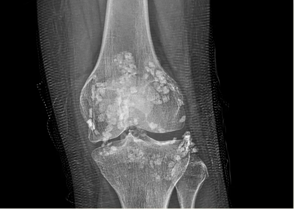
Kết quả thăm khám và thực hiện siêu âm, X quang cho thấy hình ảnh có rất nhiều nốt vôi hoá trong khớp gối.
![]() |
Hình ảnh X quang cho thấy khớp gối bệnh nhân chứa đầy các nốt vôi hoá |
BS.CKI Nguyễn Ngô Dũng, đơn vị Cơ Xương Khớp, khoa Ngoại - Bệnh viện Gia đình Đà Nẵng cho biết, các nốt vôi hoá tồn tại trong bao hoạt dịch khớp gối trái kích thước khoảng từ 7-10mm và tập trung thành đám ở mô mềm vùng khoeo, kích thước đến 23*13mm chính là u sụn màng hoạt dịch, nguyên nhân chủ yếu gây ra cơn đau và cản trở vận động của bệnh nhân.
Khi đặt ống camera soi vào khớp kiểm tra, các bác sĩ rất kinh ngạc khi thấy trong khớp gối của bệnh nhân có hàng trăm hạt sụn màu trắng sữa. Một số hạt dính vào màng hoạt dịch khớp, trong khi một số khác lại rơi tự do vào trong khớp.
“Nếu bệnh nhân không phẫu thuật kịp thời, tình trạng bệnh ngày càng nặng, có thể dẫn đến thoái hoá khớp, mất chức năng khớp gối”, bác sĩ Nguyễn Ngô Dũng cho hay.
Sau khi hội chẩn, các bác sĩ lựa chọn phẫu thuật nội soi gắp u để giúp bệnh nhân phục hồi khả năng vận động sớm, hạn chế tổn thương khớp. Sau 1 giờ phẫu thuật, các bác sĩ đơn vị Cơ Xương Khớp, khoa Ngoại và bác sĩ khoa Gây mê Hồi sức - Bệnh viện Gia Đình Đà Nẵng đã lấy ra hơn 100 viên sỏi với đủ kích thước lớn nhỏ. 5 ngày sau phẫu thuật và tập luyện phục hồi chức năng, sức khoẻ của chị H. dần ổn định, có thể đi lại nhẹ nhàng với sự hỗ trợ của nạng gỗ.
Theo chị P.H., năm 12 tuổi chị từng bị chấn thương khớp gối trái, khi đến thăm khám, bác sĩ kết luận có chấn thương phần mềm và đã điều trị bằng thuốc uống. Tuy nhiên, thời gian dài sau chấn thương, khớp gối của chị vận động khó và cảm giác như khớp bị kẹt, có lúc không thể duỗi thẳng gối được. Đến nay, cơn đau trở nên trầm trọng hơn, việc đi lại quá khó khăn. Lúc biết trong khớp gối có cả trăm viên sỏi chị H. rất bất ngờ và lo sợ.
