Tại sao bệnh bạch hầu nguy hiểm?

Người mắc bệnh bạch hầu nặng, biến chứng mà không được điều trị kịp thời có nguy cơ tử vong từ 30%-50%. Trong khi đó, thuốc kháng độc tố bạch hầu có nguồn cung khá hạn chế.

Thông tin từ Cục Y tế dự phòng (Bộ Y tế), từ đầu năm đến nay, Việt Nam ghi nhận 5 trường hợp mắc bệnh bạch hầu, bao gồm 1 ca tử vong. Các tỉnh ghi nhận ca bệnh gồm: Hà Giang, Nghệ An, Bắc Giang.

Trong đó, bệnh nhân Moong Thị B. (18 tuổi, tạm trú tại Bắc Giang) tiếp xúc với ca bệnh bạch hầu đã tử vong. Sau đó, chị được chuyển lên Bệnh viện Bệnh nhiệt đới Trung ương (Hà Nội) do địa phương không còn huyết thanh kháng độc tố bạch hầu.

Theo ThS-BS Trần Đăng Khoa, Khoa Khám bệnh, Bệnh viện Đại học Y Dược TPHCM, tỷ lệ tử vong của bệnh bạch hầu lên đến 30%~40% đối với trường hợp nặng, khi giả mạc lan rộng gây tắc nghẽn hô hấp hoặc có biến chứng mà không điều trị kịp thời, có thể tăng đến 50%. Khi bệnh nhân được dùng kháng độc tố bạch hầu (SAD) thì tỷ lệ tử vong có thể giảm xuống 5%~10%, nhưng hiện nay nguồn cung cấp còn rất hạn chế.

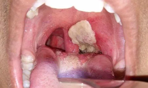
05122018-5.jpg
Dấu hiệu của bệnh bạch hầu là lớp giả mạc ở đường hô hấp trên.

BS Trần Đăng Khoa phân tích, khi xâm nhập vào cơ thể, vi khuẩn bạch hầu tạo ra sang thương chính là lớp giả mạc màu trắng xám hoặc trắng ngà ở đường hô hấp trên. Đây là lý do loại bệnh này có tên “bạch hầu”. Một số dòng vi khuẩn bạch hầu có thể tạo ra độc tố, khiến bệnh diễn tiến nặng, gây biến chứng viêm cơ tim, viêm đa dây thần kinh….

z5618895668903_72242d385ed80b6d49fb38ddd5730c05.jpg
Tiêm chủng đầy đủ theo Chương trình tiêm chủng mở rộng sẽ bảo vệ trẻ khỏi nguy cơ mắc bệnh

Theo ThS-BS Nguyễn Hiền Minh, Phó trưởng Đơn vị Tiêm chủng, Bệnh viện Đại học Y Dược TPHCM, Thông tư số 10/2024/TT-BYT quy định bệnh bạch hầu thuộc danh mục bệnh truyền nhiễm phải sử dụng vaccine bắt buộc cho trẻ em khi đủ 2 tháng tuổi. Sau khi tiêm ngừa hoặc khỏi bệnh, nồng độ kháng thể trong máu sẽ tăng từ 0,01 đến 0,1 IU, giảm chậm theo thời gian. Nên tiêm nhắc 1 liều vaccine bạch hầu mỗi 10 năm để được bảo vệ liên tục. Hiệu quả phòng bệnh bạch hầu ở các quốc gia khi tiêm đủ liều vaccine đạt từ 96,9% đến 98,2%.

“Vaccine bạch hầu - ho gà - uốn ván còn được Hội Y học dự phòng Việt Nam cũng như Tổ chức Y tế Thế giới, Trung tâm Kiểm soát bệnh tật Hoa Kỳ khuyến cáo tiêm cho phụ nữ đang mang thai từ 27 đến 36 tuần thai”, BS Hiền Minh chia sẻ.

Theo PGS-TS Trần Đắc Phu, nguyên Cục trưởng Cục Y tế dự phòng, trước đây bệnh bạch hầu lưu hành phổ biến ở Việt Nam nhưng đã được kiểm soát từ khi vaccine phòng bạch hầu được đưa vào Chương trình tiêm chủng mở rộng. Hằng năm, chỉ ghi nhận các trường hợp mắc lẻ tẻ do không tiêm vaccine, thường xảy ra ở các khu vực vùng sâu, vùng xa nơi có tỷ lệ tiêm chủng thấp. Mặc dù số ca mắc không cao nhưng không được chủ quan vì đây là dịch bệnh dễ lây lan.

Người là nguồn dự trữ chính của vi khuẩn bạch hầu. Khi ra khỏi cơ thể, vi khuẩn bạch hầu có thể sống khoảng 2-3 tuần trên bề mặt khô của các vật dụng như giường bệnh, bàn ghế, đồ chơi, sách, viết, tay nắm cửa… Đường lây nhiễm chính là qua hô hấp và tiếp xúc. Trong vùng bệnh, 3-5% người khoẻ mạnh có thể mang vi khuẩn ở vùng hầu họng mà không có bất kỳ triệu chứng nào. Người khỏi bệnh bạch hầu sẽ có miễn dịch lâu dài, có thể bảo vệ suốt đời nếu không bị suy giảm miễn dịch do dùng thuốc ức chế miễn dịch, bệnh ác tính, HIV… Tỷ lệ tái nhiễm chỉ khoảng 2-5%.

Tin cùng chuyên mục