Thanh niên 22 tuổi đột quỵ do hút shisha

Thanh niên 22 tuổi đột quỵ, bác sĩ phát hiện thói quen bất thường

Ngày 22-3, PGS-TS-BS Nguyễn Huy Thắng, Trưởng khoa Bệnh lý mạch máu não, Bệnh viện Nhân dân 115, cho biết bệnh viện vừa tiếp nhận một thanh niên 22 tuổi (quê Cà Mau) bị xuất huyết não.

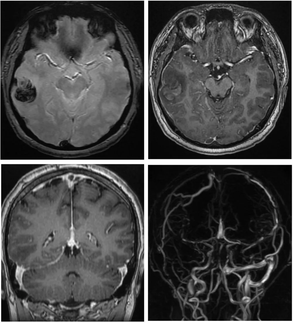
Bệnh nhân nhập viện trong tình trạng đau đầu dữ dội. Kết quả chụp CT scan cho thấy xuất huyết não, còn chụp cộng hưởng từ có bơm thuốc phát hiện huyết khối tại nhiều vị trí trong tĩnh mạch não.

Qua khai thác bệnh sử, bác sĩ ghi nhận bệnh nhân có thói quen hút shisha thường xuyên trong suốt một năm qua. Nhờ chẩn đoán kịp thời và điều trị bằng thuốc kháng đông, bệnh nhân đã hồi phục hoàn toàn.

485985613_10226907737149977_2675779908896495011_n.jpg
Chẩn đoán hình ảnh ghi nhận bệnh nhân xuất huyết não, huyết khối nhiều vị trí trong tĩnh mạch não

BS Nguyễn Huy Thắng cho biết huyết khối tĩnh mạch não là tình trạng nguy hiểm, có thể dẫn đến đột quỵ hoặc tử vong. Shisha chứa nicotine, carbon monoxide cùng nhiều chất độc hại, làm tăng nguy cơ bệnh tim mạch, phổi, ung thư và huyết khối. Đặc biệt, mỗi giờ hút shisha tương đương với việc hít vào lượng khói gấp 100-200 lần một điếu thuốc lá, làm tăng khả năng đông máu, tổn thương mạch máu và ứ trệ dòng máu.

So với thuốc lá, shisha nguy hiểm hơn do lượng khói hít vào nhiều hơn, làm tăng mức độ phơi nhiễm với các chất độc. Tổ chức Y tế Thế giới (WHO) cảnh báo shisha có thể gây hại cho tim mạch tương đương hoặc hơn thuốc lá, đặc biệt khi kết hợp với các yếu tố nguy cơ khác như ngồi lâu, béo phì, dùng thuốc tránh thai hoặc hormone.

Tin cùng chuyên mục