Gắp thành công mẩu xương gà mắc trong lòng phế quản gần 1 tháng

Cách đây gần 1 tháng, trong một lần ăn cháo gà, ông Ph.X.Đ. (69 tuổi, trú tại xã Kỳ tân, huyện Kỳ Anh, tỉnh Hà Tĩnh) đã không may bị sặc và sau vài ngay thì xuất hiện ho, khạc đờm nhiều, khó thở...  
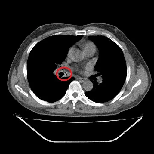
Dị vật ở lòng phế quản trung gian phổi phải qua hình ảnh chụp cắt lớp vi tính
Dị vật ở lòng phế quản trung gian phổi phải qua hình ảnh chụp cắt lớp vi tính

Ngày 29-5, tin từ Bệnh viện Đa khoa tỉnh Hà Tĩnh cho biết, các bác sĩ Khoa Nội tổng hợp của bệnh viện này vừa tiến hành nội soi gắp ra ngoài thành công dị vật mắc ở lòng phế quản trung gian phổi phải gần 1 tháng trong người bệnh nhân Ph.X.Đ. (69 tuổi, trú tại xã Kỳ tân, huyện Kỳ Anh, tỉnh Hà Tĩnh).

Theo bệnh nhân Ph.X.Đ. cho biết: Cách đây gần 1 tháng, trong một lần ăn cháo gà thì không may bị sặc và sau vài ngay thì xuất hiện ho, khạc đờm nhiều, khó thở... gia đình cứ nghĩ rằng do ông có tiền sử bệnh phổi tắc nghẽn mãn tính (COPD) nên xem đó là chuyện bình thường. Tuy nhiên, thời gian gần đây bệnh nhân xuất hiện khó thở, khò khè nhiều và xuất hiện đờm nhiều hơn nên gia đình đã đưa đi bệnh viện khám.

Tại Khoa Nội tổng hợp, bệnh nhân Đ. được các bác sĩ cho làm các xét nghiệm cần thiết nhưng không phát hiện ra vấn đề gì. Lúc này các bác sĩ đã hỏi tiền sử của bệnh nhân trong thời gian qua thì nghi ngờ bệnh nhân bị mắc dị vật, đồng thời tiến hành chụp CT lồng ngực, qua đó phát hiện ở lòng phế quản trung gian phổi phải có dị vật.

Gắp thành công mẩu xương gà mắc trong lòng phế quản gần 1 tháng ảnh 1 Mẩu xương gà có kích thước 1,5 x 1,5cm sau khi được gắp ra ngoài thành công
Qua hội chẩn, các bác sĩ Khoa Nội tổng hợp tiến hành điều trị kháng sinh để cải thiện tình trạng đợt cấp COPD trên bệnh nhân theo dõi dị vật lòng phế quản phổi phải, thì tình trạng phù nề được cải thiện, thở dễ hơn... nên các bác sĩ đã quyết định nội soi gắp ra ngoài thành công được 1 mẩu xương có kích thước 1,5cm x 1,5cm. Sau khi gắp dị vật ra khỏi lòng phế quản, tình trạng của bệnh nhân Đ. đã dễ thở hơn, ít ho và dự kiến bệnh nhân sẽ được xuất viện trong vài ngày tới.

Một bác sĩ Khoa Nội tổng hợp, Bệnh viện Đa khoa tỉnh Hà Tĩnh cho biết, bệnh nhân Đ. đến bệnh viện đã xuất hiện phù nề, chảy máu xung quanh phần dị vật, nếu gia đình không đưa bệnh nhân đến kịp có thể gây ra viêm, áp xe, thậm chí thủng phế quản, tràn khí trung thất... lúc đó sẽ khó điều trị hơn và thời gian điều trị dài hơn.

Gắp thành công mẩu xương gà mắc trong lòng phế quản gần 1 tháng ảnh 2 Hiện tại bệnh nhân Đ. đã ổn định, dễ thở hơn dự kiến sẽ xuất viện trong vài ngày tới

Theo một bác sĩ Khoa Nội tổng hợp, Bệnh viện Đa khoa tỉnh Hà Tĩnh, thông thường khi bị hóc xương cá, xương gà... thì người dân thường cố gắng khạc, dùng tay móc hoặc ăn cục cơm, chuối để lấy xương ra. Nhưng thực tế, những việc làm này sẽ làm cho viêm mạc họng bị trầy xước, nhiễm trùng, viêm nhiễm đường họng. Khi nuốt cơm, chuối còn làm cho xương xuống sâu hơn khiến cho việc lấy xương gặp nhiều khó khăn.

Việc dị vật đường thở bỏ quên thường không rõ ràng nên trong nhiều trường hợp, người bệnh được chỉ định điều trị lao, phổi. Mãi một thời gian lâu sau đó thì mới phát hiện dị vật bỏ quên mới chính là thủ phạm. Bác sĩ cũng khuyến cáo, người dân không nên vừa ăn vừa đùa giỡn, khi ăn nên nhai kỹ, ngồi ăn và không nên vừa nằm vừa ăn để tránh bị dị vật đường ăn, đường thở. Đặc biệt, đối với trẻ em, khi trẻ bị viêm phổi tái phát nhiều lần, ho nhiều… thì nên thăm khám ở các bệnh viện chuyên khoa vì có thể là có dị vật đường thở bỏ quên.

Tin cùng chuyên mục